Skip to content
颜画风的博客
搜索文档
K
Main Navigation
首页
编程-L
科学
official doc
Guide
Configs
1.0.0-rc.33
Changelog
Contributing
中文
English
GitHub
中文
English
Appearance
GitHub
Menu
Return to top
目录
Table of Contents for current page
章鱼
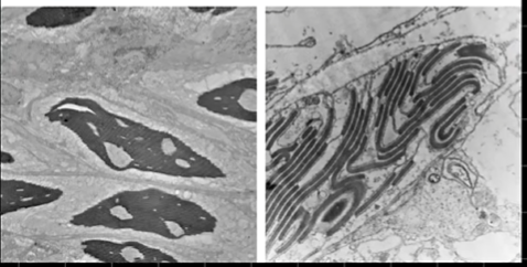
虹彩细胞Iridocyte
细胞膜内凹形成光栅,通过反射蛋白粗细调节光栅间距。神经信号-反射蛋白结合水-反射蛋白厚度
通过
结构色
变色
如果存在这种结构,那么就可以作为世界上最先进的显示器。